🌟【正畸案例】ISW钛镍合金丝巧解复杂错颌畸形:阻生牙+先天缺牙+反锁合的完美逆袭之路🚨
一、案例背景:16岁少年的“牙齿烦恼”😣
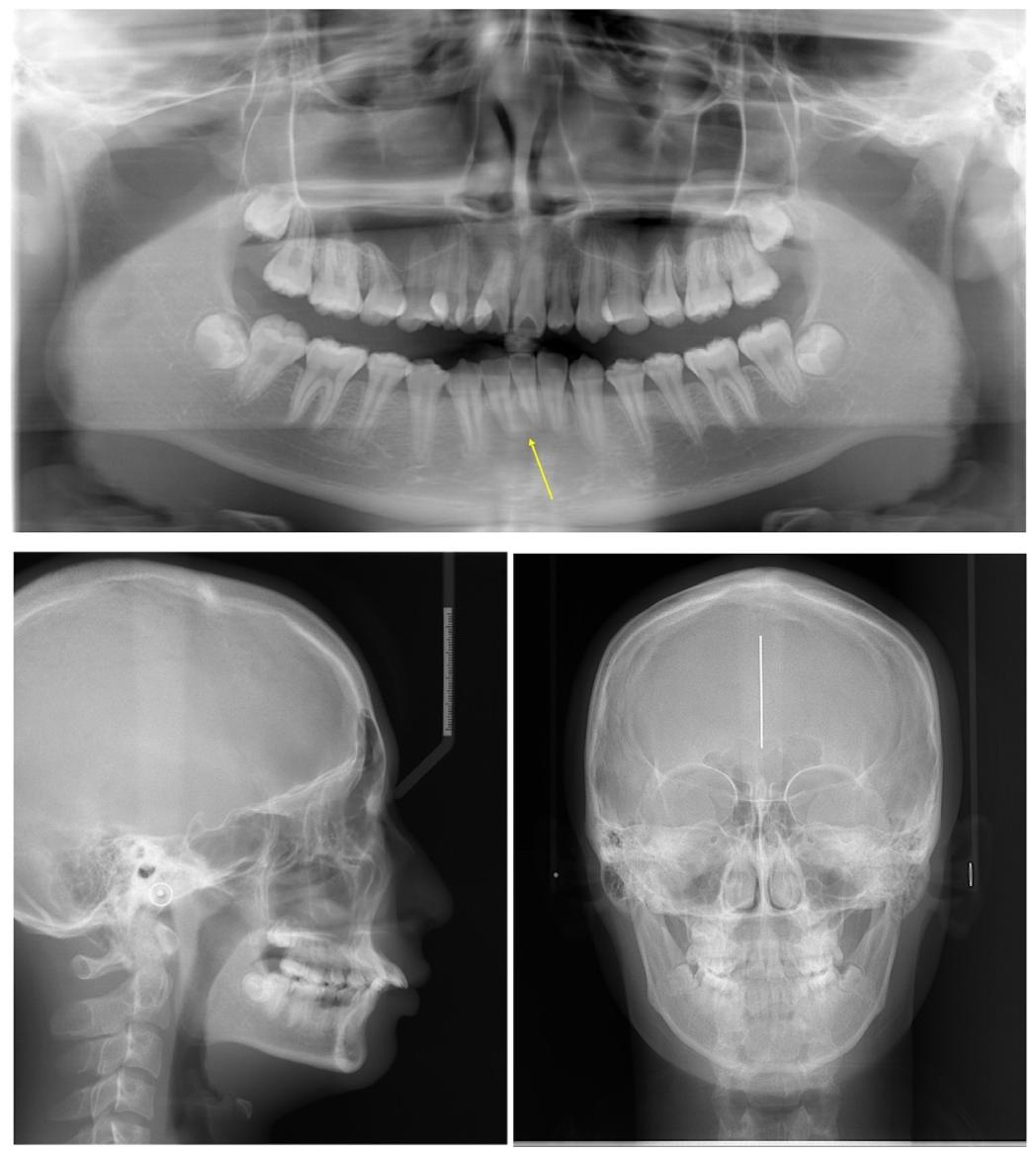
一位16岁男生因“牙齿不齐”就诊,检查发现多重问题:
✅ 安氏II类错颌:磨牙关系异常,侧面看“凸嘴”明显
✅ 右上侧切牙(#12)阻生:躲在牙弓后面“不肯露面”
✅ 右下中切牙(#41)先天缺失:下牙少了一颗“主力军”
✅ 后牙反锁合:上颌磨牙(#17)与下颌磨牙(#47)“交叉打架”
✅ 头影测量:骨性I类,下颌平面角低,上切牙过度前突

治疗前正面像可见面部不对称,口内照显示阻生牙、缺牙及反锁合
<<< 左右滑动见更多 >>>
二、治疗挑战:三大难题如何破局?💡
❶ 阻生牙排齐:传统弯丝效率低,ISW超弹性来助力!
阻生牙常因拥挤、错位难以移动,传统钢丝需频繁弯制,耗时久。
关键技术:改良超弹性钛镍合金丝(ISW)
✅ 特性:超弹性+形状记忆,轻力持续牵引,保护牙周健康
✅ 优势:无需复杂弯制,通过弹性链/闭圈弹簧精准开辟间隙,引导#12“归位”
❷ 先天缺牙:下牙只剩3颗,中线如何对齐?
右下中切牙缺失导致下牙列中线偏移, Bolton指数异常(前牙比55%,整体比83%)。
解决方案:以左侧中切牙(#31)假想中线为参考,通过转矩控制和间隙分配,让3颗下切牙对称排列,兼顾美观与功能。
❸ 反锁合纠正:垂直偏移技术打破“咬合僵局”
后牙反锁合因上下磨牙颊舌向错位,咬合时互相干扰。
关键操作:ISW热弯垂直偏移
✅ 在#17托槽处设计3mm垂直台阶,压低上颌磨牙,消除与下颌磨牙的咬合干扰
✅ 配合颌间牵引,快速建立正常颊舌向咬合关系
三、治疗过程:40个月的“牙齿变形记”⏳
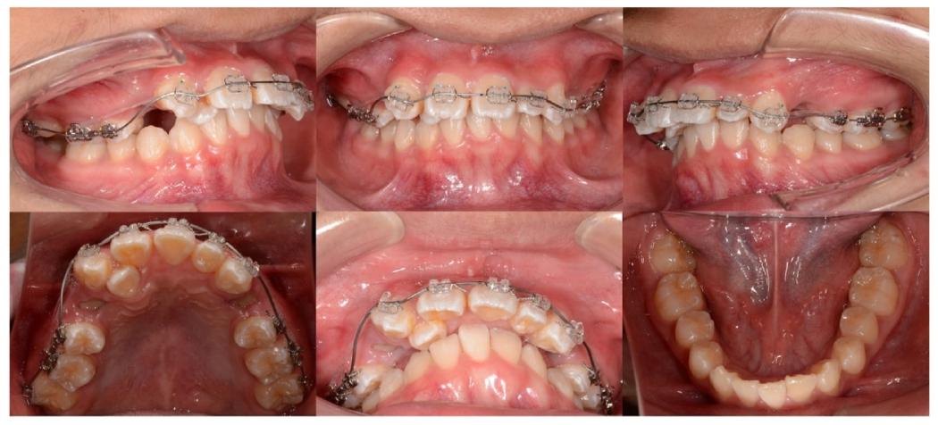
1. 拔牙开拓空间(治疗前)
拔除上颌双侧第一前磨牙(#14、#24)及全口第三磨牙,创造排齐间隙。
2. 初始排齐与支抗控制(1-4个月)
✅ 上颌0.016×0.022英寸ISW整平,配合100g闭圈弹簧远移尖牙(#13、#23)
✅ 磨牙近中放置阻挡器,防止支抗牙移位
初期排齐阶段,可见弹簧与阻挡器位置
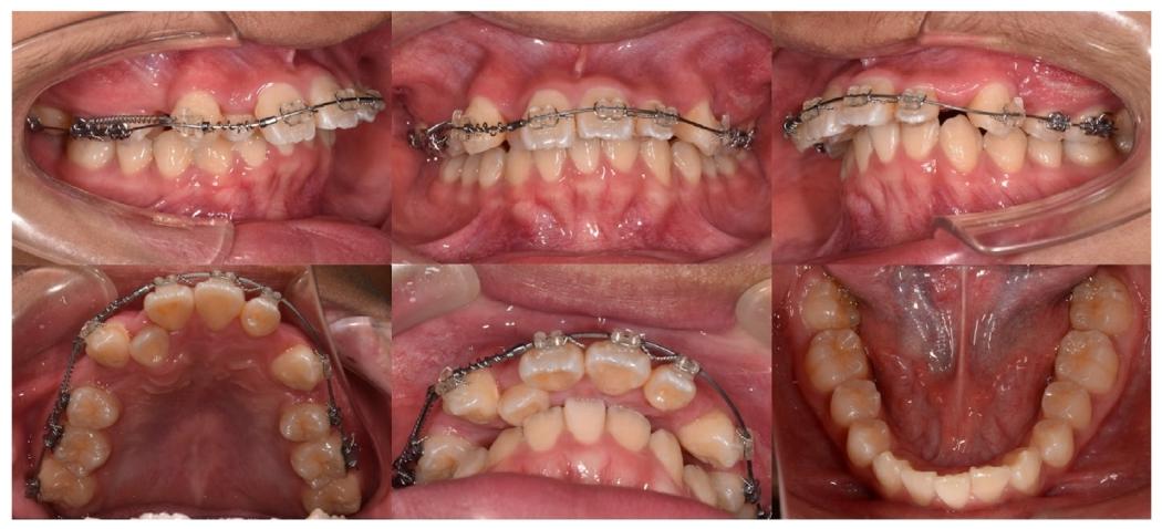
3. 阻生牙牵引与间隙利用(4-14个月)
✅ 开圈弹簧拉开#11与#13间隙,为#12“腾出位置”
✅ 轻力牵引+ISW弹性引导,逐步将阻生的#12纳入牙弓
第三月可见开圈弹簧为阻生牙创造间隙
4. 反锁合攻坚(14个月时)
✅ #17托槽施加垂直偏移,压低3mm解除与#47的咬合干扰
✅ 配合颌间弹性牵引,纠正颊舌向错位
第14月垂直偏移装置特写
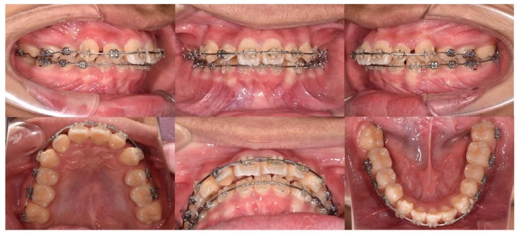
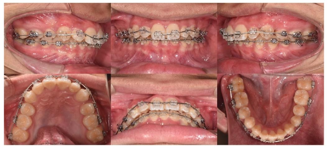
5. 精细调整与保持(22-40个月)
✅ 重新粘结中切牙托槽,调整覆合覆盖
✅ 拆除矫治器后,上颌戴用环绕式保持器,下颌Hawley保持器
第22月中切牙托槽调整
四、治疗成果:颜值与功能双提升!✅
❶ 外观改善
✅ 侧面凸度减小,唇部自然闭合,面部对称性提升
✅ 前牙覆盖从6mm降至2mm,覆合正常化
❷ 咬合重建
✅ 阻生的#12完全排齐,与对颌牙形成良好接触
✅ 反锁合解除,上下磨牙“咬合对位”,咀嚼效率提升
✅ 下牙3颗切牙以假想中线对齐,牙弓协调美观

治疗后面像对称,口内照显示整齐牙列与正常咬合
❸ 影像学验证
✅ 头影测量:上切牙唇倾度显著改善(U1-FH角从142.5°→114.9°),下颌逆时针旋转,骨性关系更协调
✅ 全景片:牙根平行度良好,牙周组织健康
<<< 左右滑动见更多 >>>
治疗后X线片显示牙列与骨骼关系优化
五、技术亮点:ISW为何成为“正畸神器”?🔬
-
超弹性轻力牵引:避免传统钢丝重力导致的牙根吸收风险,保护牙周微血管循环 -
精准控根与转矩:配合垂直偏移弯制,实现磨牙三维方向移动(压低+颊向) -
高效间隙管理:拔牙后通过弹簧与牵引装置,快速关闭间隙并调整牙弓形态
六、总结:复杂病例的“破局思维”💬
面对阻生牙、先天缺牙、反锁合的“三重挑战”,ISW钛镍合金丝的超弹性特性与个性化弯制技术成为关键。通过拔牙开拓间隙、垂直偏移解除干扰、轻力牵引引导牙齿移动,最终实现功能与美观的双重目标。
正畸启示:复杂病例需要“精准诊断+材料创新+分步施策”,每一颗“不听话”的牙齿,都能在科学设计下找到合适的位置~
下牙3颗切牙以假想中线完美对齐
参考文献:
Chang, Y.-H., et al. (2024). Improved Super-elastic Ti-Ni Alloy Wire for the Treatment of Angle Class II Malocclusion Combined with 3 Lower Incisors and Scissors Bite Case. Taiwanese Journal of Orthodontics, 36(2), 69-79.
Comments